Gesellschaft für Orthopädisch-Traumatologische Sportmedizin

Suche

Adduktoren, Leiste, Hüftgelenk

Sehr geehrte Damen und Herren,

viele Sportler haben Probleme mit Leiste, Adduktoren oder Hüftgelenk. Es trifft nicht nur Fußballer, wenngleich statistisch gesehen sehr viele während der sportlichen Laufbahn mit derlei Beschwerden zu kämpfen haben; Fußballer übrigens mehr als Fußballerinnen. Die Ursachen sind vielfältig, was eine differenzierte und korrekte Diagnose durchaus zu einer Herausforderung werden lassen kann. Welche Sportler besonders gefährdet sind, warum eine manuelle Untersuchung unverzichtbar erscheint und welche Maßnahmen helfen, die oftmals wiederkehrenden Beschwerden in den Griff zu bekommen, beschreibt Dr. med. Peter Ueblacker im aktuellen GOTS-Newsletter.

Mit freundlichen Grüßen,
Ihr Andreas Bellinger, GOTS-Pressesprecher presse@gots.org


Nur noch ein paar Tage, dann ist es soweit: Der 32. Jahreskongress der Gesellschaft für Orthopädisch-Traumatologische Sportmedizin (GOTS) findet vom 22. bis 24. Juni 2017 im Grand Hotel Esplanade in Berlin statt. Eine Fülle spannender und informativer Vorträge zu den Hauptthemen Leistenschmerz, vorderes Kreuzband, Platelet Rich Plasma (PRP), Rehabilitation von Sportverletzungen, Sportwissenschaft und Frauenfußball stehen auf dem Programm. Ehrengast der Veranstaltung ist Prof. Dr. med. Per Hölmich aus Dänemark. Der Orthopäde und Chirurg vom University Hospital Hvidovre in Kopenhagen gilt als einer der führenden Forscher auf dem Gebiet der Leistenbeschwerden. Bereits am PreDay (22. Juni 2017) erwarten Sie interdisziplinäre Workshops und ein eigenes Programm der Young Academy. Mehr Informationen entnehmen Sie bitte der Kongresswebsite (www.gots-kongress.org) sowie dem Hauptprogramm, das Sie unter www.gots-kongress.org/wp-content/uploads/2017/03/GOTS17_Hauptprogramm_17.03.17.pdf herunterladen können.


Wir möchten Sie auf fünf Veranstaltungen hinweisen: Schultererkrankungen in Diagnostik und Therapie sind am 7. und 8. Juli 2017 das Thema beim Schulterkurs III – Arthroscopy meets MRI in Tübingen. Am 15. Juli 2017 findet in Heidelberg das 7. Sportmedizin Symposium: Frau und Sport statt. Schwerpunkte des 8. Zeulenrodaer Kongress der Orthopädie und Sportorthopädie sind vom 31. August bis 2. September 2017 Verletzungsprävention im Sport sowie Sport im Alter. Außerdem verweisen wir auf den 4. Sommerkurs Sportmedizin (www.sportmedizin-kurse.de) vom 10. bis 15. Juli 2017 in Garmisch-Partenkirchen sowie das First Open Meeting ESSKA-ESMA (esma-conference.org) am 3. und 4. November 2017 in München. Weitere Informationen enthalten die Flyer im Anhang dieses GOTS-Newsletters.

Adduktoren, Leiste, Hüftgelenk: Diagnose und Therapie

Beschwerden im Bereich der Leiste, der Adduktoren bzw. Hüftgelenke treten im Sport häufig auf und können unterschiedlichste Ursachen haben. Insgesamt machen sie zwei bis fünf Prozent aller Sportverletzungen aus (Sedaghati et al. 2013). Zu finden sind sie vor allem in Sportarten mit Stop-and-Go-Belastungen, schnellen Scher- und Drehbewegungen (vor allem im Einbeinstand) und Kehrtwendungen. Im Profifußball sind sie verantwortlich für etwa 14 Prozent aller verletzungsbedingten Ausfälle (Ekstrand et al. 2011). Die Prävalenz ist – zumindest in der Zeit höherer Wettkampfbelastung – mit 29 Prozent bei Männern und 10 Prozent bei Frauen im Fußball sehr hoch (Harøy et al. 2017).

Leistenbeschwerden sind oft multifaktoriell bedingt und nicht zuletzt aufgrund der komplexen Anatomie dieser Region in diagnostischer und therapeutischer Hinsicht meist eine Herausforderung. Aufgrund der vielfältigen Ursachen von Leistenbeschwerden ist es auch aus differentialdiagnostischen Überlegungen heraus sinnvoll, topografische Kategorien zu bilden.

Eine kürzlich erschienene Metastudie zählt die häufigsten Ursachen von Leistenbeschwerden von Sportlern folgendermaßen auf (de Sa et al. 2016):

Überblick über die unterschiedlichen diagnostischen Entitäten

(modifiziert aus: „Sportverletzungen“, M. Engelhardt (Hrsg.), Urban & Fischer, 3. Auflage, 2016):

Adduktoren
  • Ursprungstendinopathie, vor allem Adduktor longus
  • Schmerzhafte Muskelverhärtung der Adduktoren
  • Strukturelle Muskelverletzung der Adduktoren
  • Avulsionsverletzung der Adduktor longus Sehne proximal
Iliopsoas/Rectus
femoris
  • Iliopsoas-Syndrom
  • Tendinopathie des Iliopsoas
  • Schmerzhafte Muskelverhärtung des Rectus femoris
  • Strukturelle Muskelverletzungen des Rectus femoris (z. B. entlang der intramuskulären Sehne)
  • Avulsionsverletzung der Rectus-femoris-Sehne proximal
Symphyse
  • Symphysitis/Osteitis pubis
  • Knochenmarködem/Stressfraktur der Schambeinäste
  • Ansatztendinopathie Rectus abdominis am Os pubis
Leistenkanal
  • Weiche Leiste/Sportlerleiste
  • Leistenhernie
  • Nervenkompressionssyndrome
Hüfte
  • Femoroazetabuläres Impingement (FAI)
  • Hüftdysplasie
  • Unspezifischer Erguss
  • Labrumpathologie
  • Knorpelschaden
  • Femurkopfnekrose
  • Bei Jugendlichen: Epiphysiolyse
Lumbal/iliosakral
  • Iliosakrale oder lumbale Blockierung
  • Radikulopathie, z.B. L1/L2 etc
Andere
  • Abdominale Ursachen (chronische Darmerkrankungen, Appendizitis)
  • Urogenitale Ursachen
  • Rheumatische Ursachen
  • Bei Jugendlichen: Apophysenlösung

Differenzierte Diagnose

Wichtigste diagnostische Maßnahmen für eine differenzierte und korrekte Diagnose sind Anamnese und eine klinische Untersuchung, gefolgt von bildgebenden Untersuchungen in Form von Kernspintomographie (MRT), gegebenenfalls Röntgen und Sonographie. Ein eingehendes Verständnis der komplexen Anatomie und Pathophysiologie, insbesondere auch der biomechanischen Verbindungen mit der Bauchmuskulatur, sind dringende Voraussetzung. Nur durch eine eingehende klinische Untersuchung sind die Beschwerden genau zu erfassen.

Dabei kann keine bildgebende Technik eine präzise Untersuchung hinsichtlich Schmerzlokalisation, Muskeltonus, Bewegungsumfang der Gelenke, Kraft im Seitenvergleich, Gelenkblockierungen etc. ersetzen. Dennoch hilft eine hochauflösende Bildgebung, die in Kenntnis der klinischen Befunde interpretiert wird, die Diagnose weiter zu präzisieren. Manchmal zeigen sich insbesondere im MRT falsche positive Befunde, wie beispielsweise ein (asymptomatisches) Ödem in der Symphyse (Schambeinfuge) oder der Muskulatur, die ohne klinische Untersuchung als „Symphysitis/Osteitis pubis“ oder als „Muskelverletzung“ interpretiert werden, obwohl sie klinisch irrelevant sind.

Untersuchungstechniken

Es gibt zahlreiche, in der Literatur beschriebene Untersuchungstechniken (Waldén und Hölmich 2017). Zu den wichtigsten gehören: eingehende Palpation (manuelle Untersuchung) mit Lokalisation der schmerzhaften Region, Palpation der Sehnen, Palpation der Muskulatur hinsichtlich Tonusentgleisungen, dynamische Krafttests wie zum Beispiel Adduktion gegen Widerstand in Hüftextension und -flexion, Untersuchungen des Bewegungsumfangs und Impingementtests der Hüftgelenke, der Thomas-Test, die klinische Untersuchung der Leistenkanäle und der Lendenwirbelsäule sowie andere Leisten-spezifische Tests wie der kürzlich publizierte „Copenhagen five-second squeeze“-Test (Thorborg et al. 2017).

Therapie

Eine differenzierte Diagnose entscheidet über die richtige Therapie. Die überwiegende Anzahl der Verletzungen an Leiste, Hüftgelenken und Adduktoren kann konservativ behandelt werden, wie zum Beispiel auch eine komplette Avulsionsverletzung (Ausrissverletzung) der M. adductor longus-Sehne mit Retraktion (Ueblacker et al. 2016), während komplette Avulsionsverletzungen der Rectus femoris-Sehne bei entsprechender Retraktion operativ refixiert werden sollten (Ueblacker et al. 2015). Der Grund liegt unter anderem darin, dass der Rectus femoris über zwei Gelenke zieht, der Adductor longus aber ein eingelenkiger Muskel ist. Im Falle einer sehnigen Ausrissverletzung des Adductor longus kommt es bei richtigem Vorgehen zu einer funktionell suffizienten Defektheilung.

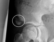
Abb. 1: Komplette Avulsion der Sehne des rechten M. adductor longus vom Os pubis mit deutlicher Retraktion um mehrere Zentimeter (der weiße Kreis umfasst Symphyse, Defektzone und die retrahierte Sehne). Nach konsequenter konservativer Therapie mit abgestuftem Rehabilitationsprogramm und schrittweisem Belastungsaufbau über einen Zeitraum von zwölf Wochen konnte der Profi-Fußballer beschwerdefrei auf sein bisheriges Spitzenniveau zurückkehren. Die Bildgebung zeigte im Verlauf eine narbige Überbrückung des Defektes, klinisch war der M. adductor longus ohne funktionelle Defizite.
Abb. 2: Beidseitige Spondylolyse L5 mit erstgradiger Spondylolisthesis bei einem 22-jährigen Spieler der Fußball-Bundesliga. Das Wirbelgleiten verursachte wiederkehrende Beschwerden entlang der ischiocruralen Muskulatur sowie iliosakrale Blockierungen mit pseudoradikulärer Ausstrahlung in die Leiste. Nach intensivierten Rumpf-stabilisierenden Übungen sistierten die Beschwerden. weniger dramatisch sind, ist das Auswechseln des Spielers essentiell und alternativlos, um unmittelbar das Risiko akuter, schwerer Komplikationen und langfristiger Schäden zu minimieren.
Abb. 3: Degenerative Symphyse bei einem Sprinter auf internationalem Spitzenniveau. Die degenerativen Veränderungen entwickelten sich vermutlich vor allem wegen der asymmetrischen Belastungen bei lumbaler Skoliose. Sie sind aber im Laufe der hochkarätigen Karriere zu keinem Zeitpunkt symptomatisch geworden. Eine Behandlung war daher nicht erforderlich.
Abb. 4: Apophysenlösung der Spina iliaca anterior inferior (SIAI) bei einem 13-jährigen Nachwuchsfußballer. Die Verletzung ereignete sich am dominanten Bein bei einem Torschuss. Der Zug des an der SIAI inserierenden M. rectus femoris Caput rectum bedingt die Diskolation. Nach einer konservativen Therapie mit stufenweisem Belastungsaufbau über einen elfwöchigen Zeitraum konnte der Spieler uneingeschränkt auf vorherigem Niveau wieder am Trainings- und Spielgeschehen teilnehmen.

Einn femoroacetabuläres Impingement sollte, bei entsprechenden Befunden und nach erfolgloser konservativer Therapie, operativ durch Arthroskopie des Hüftgelenks therapiert werden. Eindeutig dem Leistenkanal zugeschriebene und konservativ erfolglos therapierte Probleme sollten ebenfalls operativ angegangen werden. Die klinische Erfahrung zeigt aber leider, dass Patienten mit Leistenbeschwerden mitunter vorschnell am Leistenkanal operiert werden, obwohl eine Hernie oder „weiche Leiste“ gar nicht für die Probleme verantwortlich zu machen sind. Sekundär stellen sich diese Patienten dann nach „erfolgreicher Operation“ mit unveränderten Beschwerden wie präoperativ zur erweiterten Untersuchung und Behandlung vor. Meist ergibt sich dann eine für die eigentlichen Probleme verantwortliche Diagnose.

Zusammenfassung

Im Fußball beträgt die durchschnittliche Ausfallzeit bei Leistenschmerz 15 bis 19 Tage, der statistische Mittelwert liegt bei 9 Tagen (Ekstrand 2017). Beschwerden im Hüft-/Leistenbereich neigen häufig zu Rezidiven, im Fußball liegt die Reverletzungsrate bei 29 Prozent (Ekstrand 2017). Umso mehr muss durch einen individuellen Therapie- und Rehabilitationsplan eine bestmögliche Versorgung gewährleistet sein. Auch ist die konsequente Durchführung von Präventionsmaßnahmen, wie beispielsweise rumpfkräftigende Übungen, nachgewiesenermaßen wichtig und sinnvoll.

Über den Autor:

Priv.-Doz. Dr. med. Peter Ueblacker ist Facharzt für Orthopädie und Unfallchirurgie. Seit 2008 ist er Partner in der Praxis für Orthopädie und Sportmedizin von Dr. med. Hans-Wilhelm Müller-Wohlfahrt. Von 2009 bis 2015 war er zudem Mannschaftsarzt des FC Bayern München. Seine Forschungsschwerpunkte sind Muskelverletzungen im Sport. Er ist Mitherausgeber des gleichnamigen Buches, das im Thieme-Verlag erschienen ist und auf Englisch, Japanisch und Taiwan-Chinesisch übersetzt worden ist. Ueblacker war unter anderem auch als Experte im Rahmen des „Football Doctor Education Program“ der Europäischen Fußball-Union UEFA im Bereich Muskelverletzungen tätig.

Literatur:

  1. De Sa D, Hölmich P, Phillips M, Heaven S, Simunovic N, Philippon MJ, Ayeni OR. Athletic groin pain: a systematic review of surgical diagnoses, investigations and treatment. Br J Sports Med. 2016; 50(19): 1181-6
  2. Ekstrand J, Hägglund M, Waldén M. Injury incidence and injury patterns in professional football: the UEFA injury study. Br J Sports Med 2011; 45(7): 553–558.
  3. Ekstrand J. Overview of football injuries. In: Encyclopaedia of football medicine, 2017, Volume 2. Stuttgart, New York: Thieme
  4. Harøy J, Clarsen B, Thorborg K, Hölmich P, Bahr R, Andersen TE. Groin Problems in Male Soccer Players Are More Common Than Previously Reported. Am J Sports Med. 2017; 45(6): 1304-1308
  5. Sedaghati P, Alizadeh MH, Shirzad E, Ardjmand A. Review of sport-induced groin injuries. Trauma Mon. 2013; 18(3): 107-12
  6. Thorborg K, Branci S, Nielsen MP, Langelund MT, Hölmich P. Copenhagen five-second squeeze: a valid indicator of sports-related hip and groin function. Br J Sports Med. 2017; 51(7): 594-599
  7. Ueblacker P, Müller-Wohlfahrt HW, Hinterwimmer S, Imhoff AB, Feucht MJ. Suture anchor repair of proximal rectus femoris avulsions in elite football players. Knee Surg Sports Traumatol Arthrosc. 2015; 23(9): 2590-4
  8. Ueblacker P, English B, Mueller-Wohlfahrt HW. Nonoperative treatment and return to play after complete proximal adductor avulsion in high-performance athletes. Knee Surg Sports Traumatol Arthrosc. 2016; 24(12): 3927-3933
  9. Waldén M, Hölmich P. Groin injuries. In: Encyclopaedia of football medicine, 2017, Volume 2. Stuttgart, New York: Thieme
  10. Werner J, Hägglund M, Waldén M et al. (2009). UEFA injury study: a prospective study of hip and groin injuries in professional football over seven consecutive seasons. Br J Sports Med 43 (13): 1036–1040.

Schreibe einen Kommentar