Sehr geehrte Damen und Herren,
die Patellasehne kann zur Qual werden und Spitzensportler bisweilen sogar zur Aufgabe zwingen. Als Steffi Graf im August 1999 das Ende ihre Tennis-Karriere erklärte, waren die jahrelangen Probleme mit dem Ligamentum Patellae ein maßgeblicher Grund. Warum sind Sportlerinnen und Sportler im Tennis, Basketball, Volleyball oder Gewichtheben besonders betroffen? Welche Maßnahmen sind zur Verletzungsprävention angezeigt? Was kann therapeutisch getan werden? Univ.-Prof. Dr. med. Thomas Tischer klärt dies im aktuellen GOTS-Newsletter und beschreibt überdies die Risikofaktoren, die es abzustellen gilt.
Mit freundlichen Grüßen,
Ihr Andreas Bellinger, GOTS-Pressesprecher presse@gots.org
Der 32. Jahreskongress der Gesellschaft für Orthopädisch-Traumatologische Sportmedizin (GOTS) wird vom 22. bis 24. Juni 2017 im Grand Hotel Esplanade in Berlin stattfinden. Ein Schwerpunktthema wird die Behandlung der vorderen Kreuzbandruptur sein. Prof. Dr. Peter Angele wird über die individualisierte Kreuzbandchirurgie referieren und klären, welche Versorgung für welchen Sportler die beste ist bzw. sein kann. Dem großen Interesse folgend, wird Prof. Dr. Mirko Herbort in einem weiteren Vortrag über Methoden und Ergebnisse der banderhaltenden Kreuzbandchirurgie sprechen. Bereits am PreDay (22. Juni 2017) erwarten Sie interdisziplinäre Workshops und ein eigenes Programm der Young Academy. Weitere Informationen entnehmen Sie bitte der Kongresswebsite (www.gots-kongress.org) sowie dem Anhang dieses Newsletters.
Wir möchten Sie zudem auf drei Veranstaltungen hinweisen: Die Sportklinik Erfurt lädt am Samstag, dem 8. April 2017, ein zu „Gonarthrose: Update 2017“. Informationen zum Programm und die Anmeldung finden Sie auf der Veranstaltungs-Website (www.bsports-mm.de/symposium). Das 6. Arthroskopie-Symposium Tübingen beschäftigt sich am 17. und 18. März 2017 mit der Schulter (www.gelenksymposium.de/schulter). Zum Thema „High performance in professional sports“ veranstaltet das BG Klinikum in Hamburg-Boberg am Samstag, dem 25. März 2017, ein interdisziplinäres Sportsymposium (www.bg-klinikum-hamburg.de/veranstaltung/details/high-performance-in-professional-sports-interdisziplinaeres-sportsymposium). Weitere Informationen bieten die Flyer im Anhang dieses Newsletters.
Patellasehne: Kleine Ursache – große Wirkung
Die Funktion des Kniestreckapparates ist von überragender Bedeutung für die Fortbewegung des Menschen. Bei der Kniestreckung werden die vom Musculus Quadriceps (vierköpfiger Schenkelmuskel) generierten Kräfte über die Patella und das Ligamentum Patellae auf die Tibia (Schienbein) übertragen. Die Patella wirkt dabei eingebettet in die Strecksehne als Hypomochlion und führt zu einer deutlichen Verbesserung der Quadricepsfunktion mit einer verbesserten Kraftausschöpfung von circa 50 % (Schindler et. al). Aufgrund der Hebelgesetze wirken dabei enorme Kräfte, die vor allem beim Sportler zu vielfältigen Überlastungserscheinungen im Bereich des Ansatzes der Quadricepssehne am proximalen Patellapol bzw. des Ligamentum Patellae am distalen Patellapol und der Tuberositas tibiae führen können.
Patellaspitzensyndrom:
Das sogenannte Patellaspitzensyndrom (Synonym: „jumpers knee“) ist die häufigste Manifestation der Überlastung des Kniestreckapparates. Dies gilt insbesondere für Sportarten, die sich wiederholende positive und negative Beschleunigungen am Kniegelenk erfahren – wie beispielsweise Hallen-Tennis, Basketball, Volleyball, aber auch Sprungsportarten oder Gewichtheben. Eine aktuelle Studie im Freizeitsport zeigt eine Prävalenz von 8,5 % (Zwerver et al.).
Diagnose:
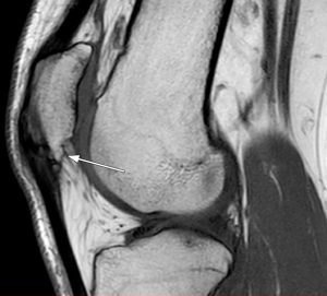
Diagnostisch wegweisend ist ein lokaler (Druck-)Schmerz am Ansatz des Ligamentum Patellae im Bereich des distalen Patellapols. Radiologisch können bei chronischen Verläufen oftmals knöcherne Ausziehungen am distalen Patellapol diagnostiziert werden. Im MRT zeigen sich bei chronischen Verläufen die typischen Befunde einer degenerativen Sehnenschädigung (siehe Abbildung 1).
Therapie:
Für die Therapie ist entscheidend, ob es sich um relativ akute Verläufe handelt oder die Schmerzen schon mehrere Wochen bzw. Monate bestehen. Im akuten Fall sollte eine Belastungsmodifikation und Lastreduzierung erfolgen. Unterstützend wirken lokale antiphlogistische Maßnahmen. Auf eine komplette Ruhigstellung sollte wegen negativer Wirkungen auf die Sehnenregeneration verzichtet werden.
Bei chronischen Verläufen stellt die Trainingstherapie vor allem mit exzentrischem Training die wesentliche Säule der Behandlung dar. Therapieziel dabei ist es, durch gezielte Lasteinwirkungen reaktive und adaptive Umbauvorgänge in der Sehne zu induzieren, die zu einer Wiedererlangung der Belastungsfähigkeit der Sehne beitragen.
Im Einzelfall kann bei konservativ frustranem Verlauf auch die operative Versorgung indiziert sein. Hierbei wird im Rahmen einer Arthroskopie (alternativ auch offen) der distale Patellapol dargestellt, denerviert und die Sehne angefrischt. Eventuelle Osteophyten werden dabei reseziert. In einer aktuellen Literaturübersicht wird über eine Erfolgsrate von circa 90 % berichtet. Die Rückkehr zum Sport liegt allerdings etwas niedriger bei circa 80 % nach durchschnittlich vier Monaten (Brockmeyer et al.).
Vom Patellaspitzensyndrom abzugrenzen ist die aseptische Osteonekrose im Bereich der distalen Patellaspitze (Morbus Sinding-Larsen-Johansson).

Abb.1: Darstellung eines chronischen Patellaspitzensyndroms bei einem 30 Jahre alten Basketballspieler. Deutlich zu erkennen sind der große Patellaspitzenosteophyt sowie die ansatznahen degenerativen Veränderungen im Sehnenansatzbereich.
Morbus Osgood-Schlatter:
Überlastungserscheinungen im Bereich der Tuberositas tibia treten oftmals im Rahmen einer aseptischen Knochennekrose (Morbus Osgood-Schlatter) auf und führen zu einer deutlich sichtbaren Auftreibung und Verdickung der Tuberositas tibiae. Das typische Manifestationsalter dafür ist während des Wachstumsalters zwischen dem 12. und 14. Lebensjahr. Therapeutisch stehen vor allem die Reduktion der Belastung und die Wiederherstellung der Muskelbalance im Vordergrund.
Ruptur Ligamentum Patellae und Quadricepssehne:
Abzugrenzen von den häufigen chronischen Überlastungserscheinungen sind die seltenen, akut traumatischen Verletzungen der Quadriceps- und Patellarsehne. Sie führen meist zu einer vollständig aufgehobenen aktiven Kniestreckung und stellen deshalb beim aktiven Menschen eine absolute Indikation für eine Operation dar. In Einzellfällen kann ein erhaltener Reservestreckapparat noch eine abgeschwächte Kniestreckung ermöglichen.
Trotz der massiven Funktionsausfälle werden Rupturen der Quadricepssehne manchmal initial übersehen – gerade bei älteren Patienten. Operativ empfiehlt sich die Refixation der Sehne mittels transossärer Nähte bzw. moderner Fadenankersysteme (siehe Abbildung 2). Langfristig sind die Ergebnisse nach operativer Versorgung meist sehr gut, wenngleich auch mit einer länger abgeschwächten Kraftentwicklung des Kniestreckapparates zu rechnen ist.

Abb. 2: Refixation einer komplett rupturierten Quadricepssehne mittels zweier Fadenanker.
Prävention:
Zunehmend wichtiger wird insbesondere im Spitzensport die Prävention von Sportverletzungen. Leider ist die Datenlage zur Prävention von Tendinopathien (Sehnenerkrankungen) aktuell noch unzureichend. Um der Entwicklung einer Patellatendinopathie vorzubeugen, ist die Minimierung der Risikofaktoren notwendig.
Dabei spielen intrinsische Risikofaktoren (funktionelle Defizite, bewegungstechnische Fehler, Vorschädigungen der Sehne, Stoffwechselerkrankungen wie Gicht oder Diabetes) ebenso eine gewichtige Rolle wie extrinsische Risikofaktoren (schnelle Belastungssteigerung, Ausrüstung, wechselnde Bodenbeläge, aber auch einige Medikamente wie Fluorchinolone, Statine, Glucocoticoide). Außerdem kann die gezielte Modifikation dieser Risikofaktoren beispielsweise durch Beseitigung einer muskulären Dysbalance, sinnvolle Belastungssteigerung im Training oder optimales Erlernen der Technik usw. ein wichtiger Bestandteil der Verletzungsprävention sein.
Über den Autor:

Univ.-Prof. Dr. med. Thomas Tischer ist Vizepräsident der Gesellschaft für Orthopädisch-Traumatologische Sportmedizin (GOTS). Er leitet die Sektion Sportorthopädie an der Orthopädischen Klinik der Universitätsmedizin Rostock. Ein Schwerpunkt seiner Arbeit ist dabei neben der Behandlung von Sportlern (unter anderem Karate-Nationalmannschaft) die rekonstruktive Knie- und Schulterchirurgie.
Literatur:
- Expertenmeeting 2016 der Gesellschaft für Orthopädisch-Traumatologische Sportmedizin (GOTS) zum Thema: Sehnen- und Muskelverletzungen.
- Johannes Zwerver, Steven W. Bredeweg and Inge van den Akker-Scheek: Prevalence of Jumper’s Knee Among Nonelite Athletes From Different Sports: A Cross-Sectional Survey. Am J Sports Med 2011;39:1984).
- Brockmeyer M., Diehl N., Schmitt C., Kohn DM., Lorbach O.: Results of Surgical Treatment of Chronic Patellar Tendinosis (Jumper’s Knee): A Systematic Review of the Literature. Arthroscopy. 2015;31:2424-9.
- Schindler OS., Scott WN.: Basic kinematics and biomechanics of the patello-femoral joint. Part 1: The native patella Acta Orthop Belg. 2011;77:421-31.